- ホーム
- セラミック治療
Ceramicセラミック治療
現在、お口の中に使用される詰め物や被せ物にはたくさんの種類があります。金属、樹脂、セラミック、セラミックと金属の掛け合わせた物など。さらに金属には何十種類もありセラミックも何種類も存在します。その中で見た目、強度、耐久性など全てを兼ね備えた万能な材料は残念ながら存在しません。これは全世界共通です。
最適な治療をご提案

患者さまごとに、また治療する方法によって最適な材料は変わってきます。セラミックが最適な時もあれば、時には金属が最適な時もございます。患者さまごとにベストなマテリアルを提供するのに必要な情報を当院ではお伝えし相談してから治療を行っております。
自分の体に入れる物なのでなるべく長持ちしてしっかりした物が良いですよね。
そこで関係してくるのが、歯の形の整え方(歯科医師の技術)、歯を削るのに使用する器具、型取りをする材料、詰め物や被せ物の材質、歯を作る職人さん(歯科技工士の技術)など様々なものが関係してきます。

どうしても日本は保険制度というもので色々な制限を受けてしまいます。保険制度は国が指定した材料、作業工程など全てにおいてそれ通りに行わなければならないのでどうしても限界があります。
よって歯を作る職人さん(歯科技工士)も大量生産型の方にお願いせざるを得ないのが実情です。細かな精度や形、色までこだわることができません。
このような保険の制限を受けないセラミック治療は、歯を整える器具、型取りをする材料など全てを一番ベストなものを選択できることになります。型取りする材料一つとっても精度がかなり変わってきます。歯を作る職人さん(歯科技工士)も全てのものを顕微鏡を覗いて一つ一つ丁寧に時間をかけて作成してくれますので、精度や色味、形の仕上がりは格段に違いが出ます。
当院のセラミック治療のこだわり
拡大鏡の使用

当院は精密に治療を行うため治療時には必ず拡大鏡を使用しています。ドイツの世界的光学レンズメーカーのZEISS社の拡大鏡を使用しており、同拡大鏡は、医科領域の脳神経外科や心臓血管外科でも使用されています。肉眼では確認できない細かな所まで明るく高倍率な視野で治療を行っておりますので、精密かつ確実な治療が可能です。
歯を削る器具

セラミック治療の際、歯を削る量を最小限にし、かつセラミックに必要な歯の形を与える器具は全てセラミック専用の特殊器具を使用しています。保険診療で使用される器具では歯の表面が荒くなり精度が悪く、歯に過剰な負担を与えてしまいます。当院ではセラミック専用の器具を必ず使用し正確に治療し歯に負担がかからないように配慮しています。
歯の型取りをする材料

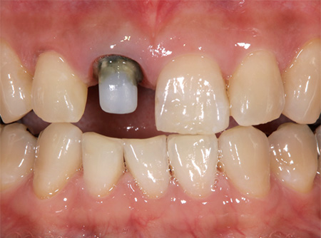
歯の型取りは重要な治療ステップとなります。ここで綺麗に型が取れていなかったり、変形してしまっては精度の良いものは完成しません。保険診療では使用されない、一番精度の良い変形しないシリコン印象材を当院では使用しています。
歯の縁を鮮明に型取りする一工夫
歯の縁が鮮明に分かるような型取りを取らなければ、歯科技工士は歯の縁が分からず、憶測でセラミックの縁を作成することになり、結果的に精度の悪いセラミックが完成してしまいます。
当院ではその縁をしっかり鮮明に型取りできるように歯の周囲に糸を巻いて工夫しています。
仮歯へのこだわり

治療中に必ず必要になる仮歯も大事な役割があります。
- 常に審美性を損なわないように
- 歯と歯肉との馴染みを見る
- 汚れが溜まりやすくないか
- 仮歯ですぐ外れたりしないか
- 過剰な負担はかかってないか
など観察する項目は多岐に渡ります。保険診療ではこのような項目を観察し、仮歯を修正することはありません。仮歯で試行錯誤した形態を最終のセラミックに反映し、長持ちし綺麗なものが出来上がることにつながります。
診断用ワックスアップ(シミュレーション)

当院では、仮歯以外にもワックスと呼ばれるろうそくのロウのような材料で最終的な歯の形を作成し、具現化することでシミュレーションを行い、セラミック完成後にトラブルが起きないように配慮しております。
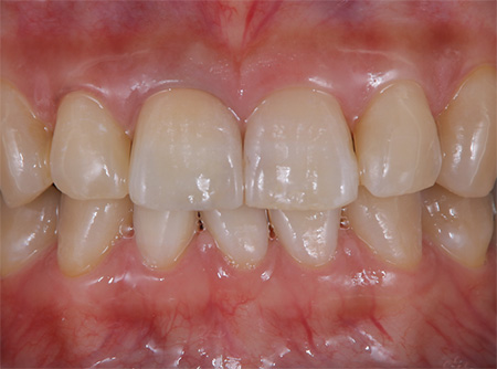
色へのこだわり
形が綺麗で精度が良くても色が周りの歯と合っていなければ折角のセラミックが台無しになってしまいます。
当院では歯の色を写真で撮るだけでなく、擬似模型を作成し内部の色の透け具合や、光の拾い方も徹底的にシミュレーションを行います。保険診療では、一本の歯に何十種類の色を使うことはできず、既製の3種類ぐらいから色を選択しなければなりません。
-

実際の口腔内
-

擬似模型
-

擬似模型にセラミックのフレームを合わせた写真
歯科技工士
歯科の技術も近年の発達は目覚ましく、デジタル化が進みコンピューター上で被せ物が作成できる時代になりました。
ただ全ての工程をデジタルで済ませるのは難しく、細かい形の再現や色の表現などは最終的に人の手にゆだねられます。当院では日本でも有数なセラミックのみを扱う歯科技工士に作成して頂いております。全て顕微鏡を使用して作成しているため精度が良く綺麗な仕上がりになります。












