- ホーム
- 歯周病
Perio歯周病について
- 歯周病だから少しずつ歯が悪くなっている
- 歯周病家系だから仕方ない
- どこの歯医者に行っても治らない
このように諦めてはないでしょうか?
歯周病は、きちんとした治療を受け、原因を知っていれば治る病気です。歯周病で失ってしまった骨は再生療法(骨を増やす治療)を除き基本的には戻ってきませんが、今以上の進行を止め歯を失うことを防げます。
歯周病で歯を失うことを諦めないでください。
必ず歯周病になるには原因があります。
まずは敵を知り、治療の意味を理解していくことが重要です。
日本国民の80%が歯周病
歯周病というのは、なかなか厄介な病気です。重症度は様々ですが、日本国民の80%が歯周病と言われています。また40代以降の歯を失う原因のほとんどが歯周病です。

いかに歯を失わず、自分の歯でご飯を噛むことができるようにし続けるのは、歯周病にならないようにするかにかかってています。
歯周病の進行
| 健康 | 初期 | 中等度 | 重度 | 末期 |
|---|---|---|---|---|
![]() |
![]() |
![]() |
![]() |
![]() |
| 健康 |
|---|
![]() |
| 初期 |
![]() |
| 中等度 |
![]() |
| 重度 |
![]() |
| 末期 |
![]() |
歯周病というのは歯が植わっている土台のアゴの骨を溶かす病気です。
このように歯周病は土台のアゴの骨を溶かしていきます。アゴの骨が溶け続けることにより最終的には歯がグラグラになり抜け落ちていく病気です。
歯周病の原因
歯周病の原因は何でしょうか?
それは、歯周病の原因は歯周病菌です。歯周病菌は人の口の中に必ず住んでいる細菌です。歯周病菌の集合体を歯垢(プラーク)と言います。

歯垢(プラーク)1gあたり細菌数は約1000億個と言われています。
便の中の細菌数と同じくらの数がいます。
この歯垢(プラーク)が長い間、歯の表面に付着していると石灰化して歯石になります。歯石になると硬くこびり付き歯ブラシでは取れない汚れとなります。
歯垢も歯石も歯周病の原因になります。

歯周病菌は、唾液や口の中に入る食事を栄養源として増殖し常時毒素を出します→その毒素によって歯を支えている骨を溶かしていきます。

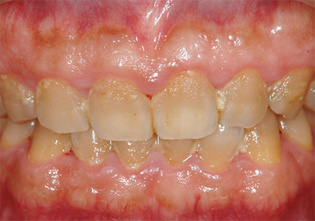
ここで見ていただきたいのは、健康な方と重度歯周病の方の歯茎の高さはあまり変わらないという所です。要するにパッとお口の中だけを見て歯周病かどうかは分かりません。
X線写真の検査をしてはじめてどれだけ骨が溶けて歯周病が進行したかがわかります。
ではどのように診断するのでしょうか。
歯周病の診断方法
歯周病は主に2つの項目で診断します。
1. 精密なX線写真を撮り骨の状態を確認する
2. 歯周ポケットの深さを測る(1本の歯に対し6箇所測定します)
これを元に歯周病治療をしていきます。
歯周病治療は、ズバリ歯周病菌を除去することです。
一般的にクリーニングと言われていますが、実は奥が深く難しい治療です。

歯周病菌の存在する部位は主に歯茎を境にして2部位に分けられます。
歯茎より上の部分(歯肉縁上)と歯茎より下の部分(歯肉縁下)です。歯肉縁上は目に見える部分に付着しているため痛くなく、綺麗に取ることが簡単にできます。
ただ見える所だけを綺麗にしても、歯茎の中に歯周病菌が付着していれば意味がありません。
見せかけだけの綺麗な状態

これでは意味がありません。
歯肉縁下は、歯茎の中に潜む歯周病菌を除去しなければならないので痛みが出やすい部分になります。また手探りの感覚で歯周病菌を除去(スケーリングルートプレーニング)しなければならないので非常に難易度が上がります。
歯周病の程度がそれほどひどくなければ、上手な衛生士さんの治療で歯周病は治ります。ただ歯周病の状態が重度であればこれだけではなかなか治りません。次の治療のステップは歯周外科治療です。
重度の歯周病治療への対応
歯周外科治療
麻酔をして少し歯茎を開いてあげると、歯周病菌を目で見て除去することが可能になり、徹底的に歯周病菌を除去できます。また格段に歯周病治療の成績が向上します。条件が揃えば、失ってしまった骨を増やすような再生治療を行うことも可能です。












