- ホーム
- ダイレクトボンディング
Direct Bondingダイレクトボンディング


ダイレクトボンディングの症例
-
上の前歯のすきっ歯をダイレクトボンディングで治療した症例

-
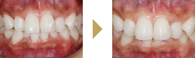
すきっ歯2本をダイレクトボンディングで治療した症例

-
下の前歯のすきっ歯をダイレクトボンディングで治療した症例

-
前歯4本の歯を削らずに行ったダイレクトボンディングの症例

-
左上前歯のダイレクトボンディング
の症例
-
ダイレクトボンディングとセラミッククラウンを併用した治療した症例

前歯の欠けや隙間が気になる方へ
前歯のちょっとした欠損や隙間が気になる方には、ダイレクトボンディングがおすすめです。歯の形や歯並びの異常を短期間で改善できる治療法です。切削量が極めて少なく、歯の寿命を大きく縮めることもありません。ここではそんなダイレクトボンディングについてご紹介します。

- 前歯が少しだけ欠けている
- すきっ歯を改善したい
- 歯の形をきれいにしたい
- できるだけ歯を削らずにきれいにしたい
ダイレクトボンディングとは
ダイレクトボンディングとは、「コンポジットレジン」と呼ばれる歯科用のプラスチックで、前歯の欠けや隙間などを治療する方法です。ダイレクトボンディングで使用されるコンポジットレジンは、強度が強く、色が多彩でセラミックのような艶が出るのが特徴です。また型取りが不要で、歯を削る量も最小限に抑えられることから、患者さまへの負担も極めて小さくなります。
ダイレクトボンディングの特徴

1日で治療が完了
ダイレクトボンディングによる治療は、基本的に1日で完了します。レジンを直接、盛り付けることから、歯の型取りや修復物の製作が不要となります。
削らずに形が整えられる
コンポジットレジンを直接盛る方法なので、歯を削る量も最小限に抑えられます。操作性の高い材料を使用するため、形態の修正も容易です。
健康な歯質を残せる
むし歯治療でダイレクトボンディングを行う場合、被せ物の土台を作る必要がありません。歯質の切削量が抑えられ、健康な歯質を最大限残すことが可能となります。
再治療が容易
コンポジットレジンは経年的に劣化するものの、再治療も容易な材料です。摩耗や変色程度であれば、レジンを少し削って盛り足すことで、症状を改善できます。むし歯の再治療でも、歯へのダメージを最小限に抑えられます。
適応できる症例

むし歯を削った跡
むし歯治療で削った跡に、コンポジットレジンを充填します。色調が調整可能で、天然歯に近い見た目に仕上げることができます。
歯の色の改善
歯の着色や変色を改善する場合にもダイレクトボンディングを活用できます。患者さまの歯の色に最も近いコンポジットレジンを選ぶことで、本来の白さを取り戻すことが可能です。
歯茎の変色が気になる場合は、こちらのページをご覧ください。
歯の形態の改善
ちょっとした歯の破折や摩耗、大きさの不揃いは、ダイレクトボンディングで改善できます。
すきっ歯の改善
前歯の真ん中の隙間は、ダイレクトボンディングで即日、解消することが可能です。

ダイレクトボンディングの流れ
-
01.相談のご予約
無料相談を行う場合は、お電話もしくは専用メールフォームからご予約を行ってください。

-
02.ご来院
ご予約いただいた日時に当院でご来院して頂きます。
当院は、 大阪メトロ谷町線「四天王寺前夕陽ケ丘」3番出口すぐの場所にございます。
-
03.初診無料カウンセリング
歯に関するお悩みをお聞かせください。患者さまのお口の中をチェックした上で、最善といえる治療法をご提案します。ダイレクトボンディングの概要やメリット・デメリットについても、わかりやすくご説明します。疑問や不安に思うことがあれば、お気軽にお尋ねください。どんなことでもお答えします。
終了後はご自宅でじっくりご検討頂けます。
-
04.歯面のクリーニング
コンポジットレジンをしっかり接着させるために、歯面のクリーニングを行います。ゴム製のシートであるラバーダムを装着し、唾液や血液になどによる汚染を防ぎます。

-
05.レジン充填
コンポジットレジンを充填して、歯の色や形、大きさなどを整えます。形態が定まったら光照射でレジンを硬化させます。

-
06.メンテナンス
治療後も定期的にご来院いただくことで、きれいな状態を長持ちさせることができます。何か異常が生じた際にも、お気軽にご連絡ください。

ダイレクトボンディングの費用
| ダイレクトボンディング | 40,000円(税別)/1歯 |
|---|
