- ホーム
- 歯茎の黒ずみの治療
5reason歯茎が黒い5つの原因と治療法


歯茎が黒い5つの原因と治療法
-
①根が黒い

-
②歯周病

-
③メタルマージン

-
④メタルタトゥー

-
⑤メラニン色素

歯並びや歯の色と同様に、歯茎が黒いのも多くの方のコンプレックスになっています。笑った時に、歯茎が黒いと相手に与える印象は決して良くはありません。 歯茎が黒い原因は5つあります。それぞれの原因と治療法をご紹介致します。
歯茎が黒くなっている箇所に被せ物をしている場合、被せ物の再治療を行うことで、歯茎の色の問題が解決できる場合があります。当院では被せ物の再治療を専門的に行っておりますので、治療を検討されている方はぜひこちらをご覧ください。
①根が黒い
虫歯が大きく中の神経を抜いてしまった際の治療で差し歯(被せ物)を入れることがあります。この差し歯や中に使用される土台が劣化しやすい金属だと、後に腐食することで、溶け出した金属イオンが根に沈着し黒くなります。
より目立ちやすい前歯などの根が黒くなると、重大な審美障害となる事が多々あります。


原因:
-

被せ物を外すと根が真っ黒に変色しています。
-

古い銀合金の土台が使用されていました。これが錆びて、
金属イオンが根に染み付いて変色していました。
残念ながら根に染み付いた金属イオンは完全には取れません。
治療法:
●銀合金の土台を外して、樹脂製ファイバーの土台に変更
●歯の強度を失わないように、可能な限り変色部を取り除く
●歯茎のきわは歯茎の厚みが薄く、根の色を透過してしまうので、なるべく根の方までセラミックでカバーする
-
このような治療を行うことで、歯茎の黒ずみはほとんどわからなくなり、被せ物もセラミックで作り直すことで、患者様のご希望通りの自然な見た目を実現することができました。
-

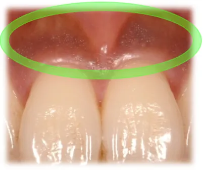
②歯周病
日本国民の80%が歯周病と言われています。歯周病で歯茎が黒くなってる方も、多いのではないでしょうか。
歯周病にかかると、歯茎は炎症を起こし赤黒く変色していきます。また歯周病の原因である黒い歯石が歯茎の中に溜まると、より一層歯茎が黒くなる原因にもなります。


原因:
-

原因は歯周病です。被せ物を外すと中に歯周病菌がたくさん付着しています。
歯ブラシができない形態の被せ物だったので、汚れが溜まり歯茎に炎症を起こし、歯周病になり、黒く変色していました。 -

治療:
-

●歯茎の薄く凹んでる所は、汚れが溜まりやすく歯周病を再発しやすいので歯茎の移植を行い、本来の厚みにする。
-

●徹底的な歯周病治療を行い、健康的な歯茎にする
●歯ブラシがきちんと行えるような被せ物の形態にする
-
歯ブラシがきちんと行えるような被せ物の形態にしたことで、再び歯周病を発症することを予防し、今回の処置によって綺麗になった歯茎をより長く健康的に維持し続けられるように治療を行いました。 当院では、 その場しのぎではなく長期的に患者様のご希望を満たせるような治療を心がけております。
-

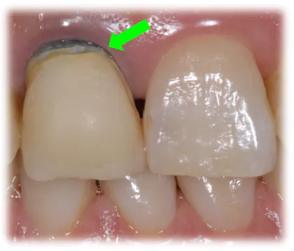
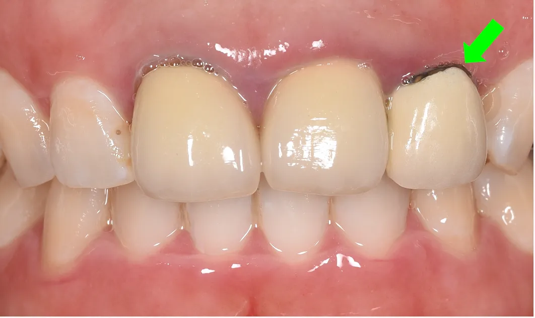
③メタルマージン
原因:
-

原因は2つ!
→メタルボンドと言われるセラミックの被せ物
→被せ物と歯の間に隙間が空いている -

撤去した被せ物
(メタルボンド)
表面は白い材料セラミックを使用していますが、
内側には金属のフレームが使用されています。
この金属のフレームの縁が黒く見える原因です。
メタルボンド
樹脂の仮歯
被せ物と歯の間に隙間が空いていると、そこの隙間から虫歯菌が入り込み黒くなります。 隙間が空かないように、即日入れた仮歯でも丁寧に治療を行えば隙間は空きません
治療法:
●金属フレームを使用した被せ物の使用を避ける
●被せ物と歯の隙間が空かないように精度の高い治療を行う
-
仮歯期間が終了し、最終的なセラミックの被せ物が入れば、歯茎の黒ずみが改善するだけでなく、自然な見た目を実現することができます。 当院ではセラミックの再治療を専門的に行っており、 被せ物と歯の隙間が空かないように精度の高い形態のセラミックの被せ物を作製いたします。
-

④メタルタトゥー
原因:
保険診療で使用される被せ物には非貴金属がよく使用されています。
非貴金属は、お口の中の湿潤下でサビやすく、溶け出した金属イオンが歯茎に沈着すると黒く変色する原因になります。
金属が体内に取り込まれることになり、入れ墨と同様になりますので、歯科界ではメタルタトゥー(金属の入れ墨)と称されています。
-

表面は白い樹脂でコーティングされていますが、被せ物のフレームには非貴金属が使用されている。
-

そして歯を抜いた後でもメタルタトゥーは消えることはありません。
治療法:
●これ以上の金属イオンの沈着を避けるために、使用されている金属を全て外す
金属の土台を樹脂製ファイバーへ
被せ物は金属が使用されていない
オールセラミックへ-
●レーザーで除去する

歯科用レーザーで除去が可能です。ただし歯茎が薄い場合などは、歯茎が痩せたり、変形してしまうことがあります。
治療費用
※当院ではレーザーは使用しておりません。
リスク・副作用
歯茎が薄い場合は歯肉退縮の可能性がある。
-
●薬剤で除去する

歯科用薬剤を使用し、歯茎を火傷の様な状態にさせることで、上皮の入れ替えを促し、黒く変色した部分を除去していきます。
この薬剤では、歯茎の表層0.3mmほどしか浸透しないため、痛みはほとんどなく、ピリピリした感じが出る程度です。当院では、表面麻酔を十分効かせてから行っているので痛みを伴うことはございません治療費用
33,000円(税込)
リスク・副作用
多少のピリピリしたお痛みが出る可能性があります。
金属イオンの着色によるメタルタトゥーは、レーザーや歯科用薬剤によって除去することが可能です。ただし歯の被せ物に、保険診療で使用される非貴金属の被せ物を使用し続けると、時間経過と共に再びメタルタトゥーができてしまう場合があります。 当院ではメタルタトゥーの除去治療と同時に、 金属素材を使用していないセラミックの被せ物に変えることで、メタルタトゥーが再びできてしまうことを予防しています。
⑤メラニン色素
メラニン色素を産生するメラニン産生細胞は、外来刺激を受けると組織を守ろうとし、メラニン色素を産生します。紫外線で皮膚が黒くなるのが良い例です。お口の中でも同様で、喫煙などの外来刺激でメラニン色素が沈着します。


原因:

原因のほとんどは喫煙です!他に紫外線や口呼吸なども挙げられますが、色素沈着の程度としては喫煙が一番黒くなる原因となります。
治療法:
●薬剤で除去する

歯科用薬剤を使用し、歯茎を火傷の様な状態にさせることで、上皮の入れ替えを促し、黒く変色した部分を除去していきます。
この薬剤では、歯茎の表層0.3mmほどしか浸透しないため、痛みはほとんどなく、ピリピリした感じが出る程度です。当院では、表面麻酔を十分効かせてから行っているので痛みを伴うことはございません。

YASU DENTAL CLINIC
初回相談無料
症例
「歯茎が黒い」症状に対する治療の流れ
歯科医師紹介
当院では、歯茎が黒い事が原因で、人前で笑えず、悩まれ、常に口元を押さえながら話をしなけばならない方など多くのご相談を頂きます。
特に前歯の差し歯などが黒くなってしまっていると目立ちやすいため、その悩みは深刻です。
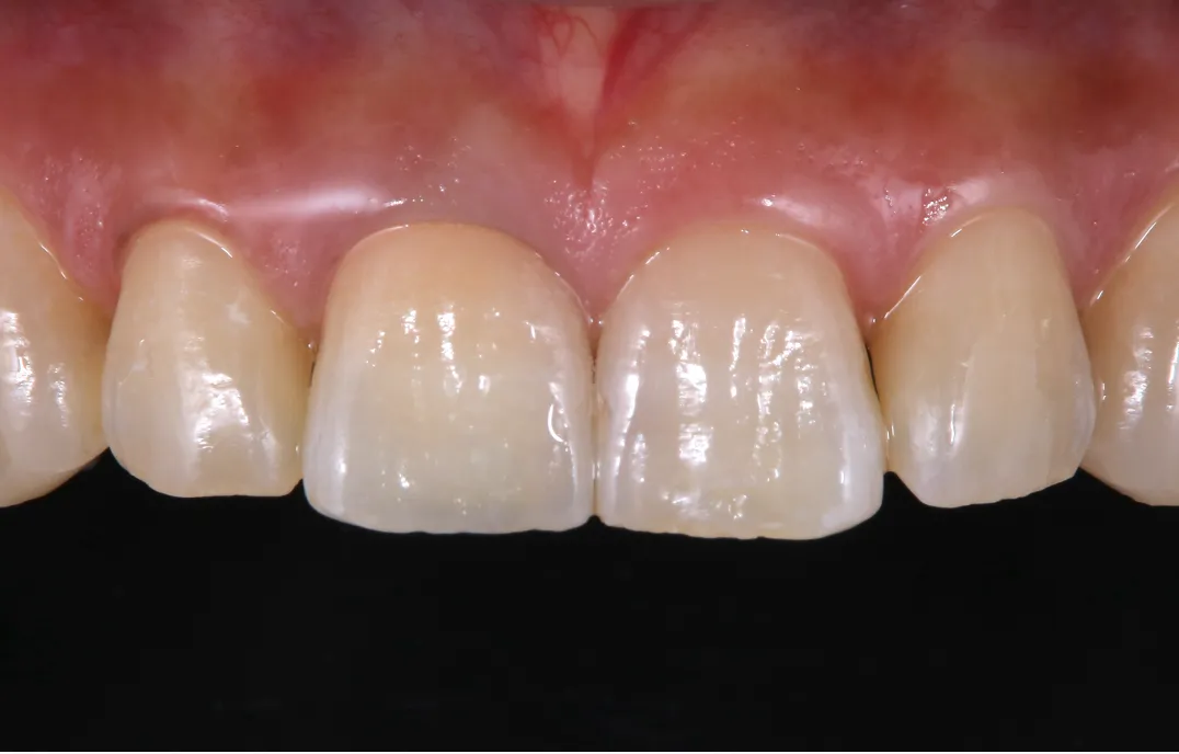
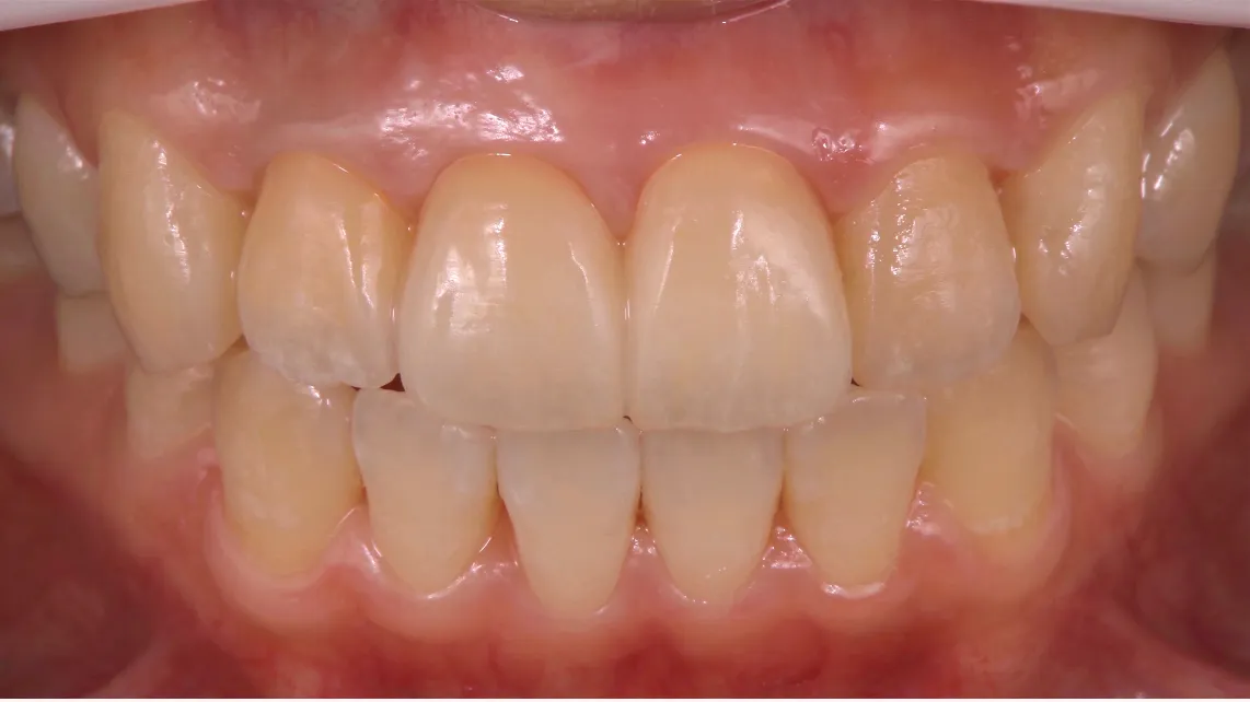
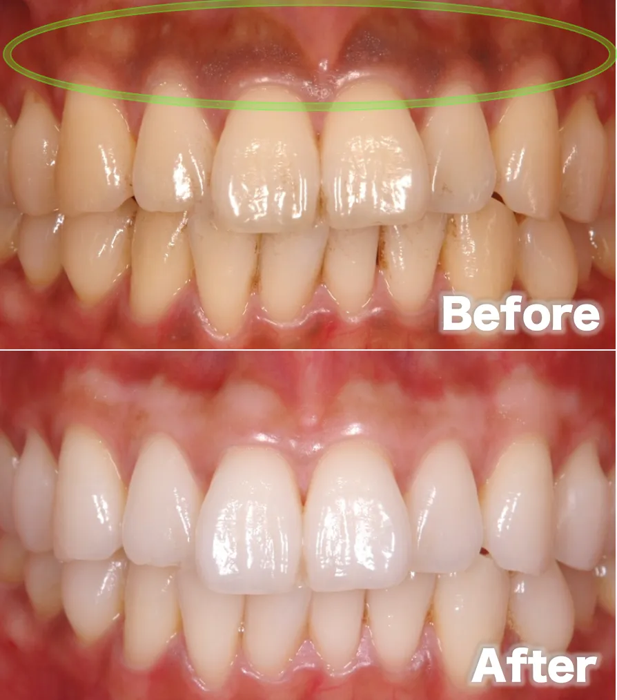
以前、前歯の差し歯の変色と歯茎が黒くなってしまっている患者様の治療を行いました。
人と話す時は、常に口元に手を当て見えないように隠し、人前で笑うことも少なくなってしまったと仰っていました。
たった一本の差し歯ですが、ご本人からすると笑顔を見せられず、大変苦労されてきたことと思います。
そのお気持ちを汲み取り、期待に応えるのが私の役目だと考えております。
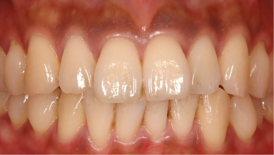
治療後には、自然と笑う回数が増え、今では口元を手で隠すこともなくなりました。
歯の自信が内面の自信に繋がることを強く感じさせられた瞬間でした。
1本の差し歯で人生が変わる事だってあります。
当院を信頼し、期待して治療に通って頂く患者様の想いを大事にしております。
歯茎が黒いこと、差し歯の変色でお悩みの方は、悩まず、先ずはご相談下さい。











