- ホーム
- インプラント
Implantインプラント治療
歯が抜けた後の治療法

歯が抜けた後の治療法は今現在、この世の中には3つの方法しかありません。これは全世界共通です。入れ歯・ブリッジ・インプラントの3つです。
| 入れ歯 | ブリッジ | インプラント |
|---|---|---|
![]() |
![]() |
![]() |
| 入れ歯 |
|---|
![]() |
| ブリッジ |
![]() |
| インプラント |
![]() |
それぞれ利点欠点があります。
それぞれの治療のメリット・デメリット
入れ歯
まず入れ歯の基本的な構造はプラスチックの歯と、健康な歯にかける金属のフックで構成されています。
| メリット | デメリット |
|---|---|
| 基本的には歯を削らずに型取りができるため簡単に作成することができるという点と比較的安価でできるという点です。 | 人の口の中は人体で一番感覚が鋭く、髪の毛一本入ってもわかる様な繊細な組織です。そこへ入れ歯(プラスチックの歯と金属のフック)が入るので異物感がどうしても出てしまいます。歯肉の上に乗っているプラスチックの歯で噛むので、自分の歯の様になんでも噛んだりすることは難しくなります。 また失ってしまった部分の歯の噛む力は入れ歯を伝ってフックがかかっている健康な歯で負担をすることになります。健康な歯の負担が大きくなり寿命が短くなる可能性が高くなります。入れ歯の最大の欠点は他の健康な歯に迷惑をかけてしまうところです。 |
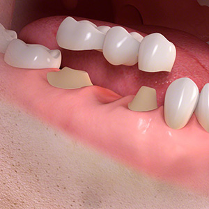
ブリッジ
次にブリッジですが、構造は歯を失った部分の前後の歯を全て削り3つ連なった被せ物を入れる治療法です。
| メリット | デメリット |
|---|---|
| 元あった歯と同じサイズなので異物感が少ないという点と自分の歯の様な感覚で噛むことができるという点です。 |
前後の健康な歯を削らなければならない。 ※ただし噛み合わせや歯の状態・部位などを考慮すれば支えの歯の寿命が短くなることはありません。 |
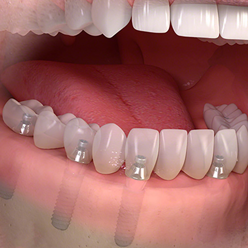
インプラント
インプラントは、失った歯の部分の骨にチタン製のネジを植え込み、その上に歯の被せ物を乗せる構造をしています。
| メリット | デメリット |
|---|---|
|
インプラントの一番の特徴は、入れ歯やブリッジと違い他の歯に迷惑をかけないところです。入れ歯の様に健康な歯にフックをかけたり、ブリッジの様に前後の歯を削らなくて済むので長い目で見ると一番周りの歯に優しく、長持ちすることが論文でも証明されています。 また、本来の歯の形と同じ形状大きさをしているので、異物感もなく自分の歯の様に噛むことが可能です。 |
インプラントと骨が結合するまで時間がかかるので治療期間が長くなります。 骨の中にチタン製のネジを入れるため外科処置が必要です。 |
当院のインプラント治療のこだわり
痛みが少なく安全に

当院のインプラント治療は、術中の完全無痛と安全性を最優先することをお約束します。
院長は、高次医療機関での麻酔科で研修を受けており、医科領域の全身麻酔を200件以上経験しております。
麻酔を痛くなく行い、効果も最大限発揮できるように行います。
安全確保のために術中の全身管理のモニターを使用し、万が一の不測の事態にも対応できるように日本救急医学会の資格認定を受けております。それでも不安や心配だという患者様のために、静脈内鎮静法にも対応しております。点滴から眠くなるお薬を投与して手術中に半分寝たような状態で処置を行い、精神的なストレスを和らげることができます。
徹底した衛生管理を行った手術室・滅菌器具

当院での外科処置は全て手術室で行なっております。手術に必要な医療機器を備え、使用する器具はヨーロッパの厳しい基準にクリアーしたMELAG社の滅菌器を使用しております。まだ日本には普及率の少ない滅菌器で内部を真空にするため、器具の細部や細い管の中まで滅菌が可能です。インプラント治療の成功率を左右する細菌感染のリスクを下げることができます。
高精度CTとインプラントシミュレーションを用いた精密なインプラント治療

インプラント治療で大切なのは診断です。顎の骨や神経、血管の位置を正確に、そして詳細に把握できる高精度CTの3次元立体画像を活用して、的確な診断を行います。詳細なデータをもとに、専用ソフト上でシミュレーションを行い、0.数ミリ単位でインプラントの位置を確認します。

必要があれば、そのデータから位置がずれないようにインプラントガイドを作成することも可能です。
インプラントガイドを使用することにより、シミュレーションで想定した位置と同じ位置にインプラント埋入が可能になります。
インプラントの長持ちにこだわります
インプラントを入れた後のトラブルで一番多いのは、インプラント周囲炎です。インプラント周囲炎とは、歯周病と同様にインプラントの支えてる骨を溶かす病気です。そのまま放置していると、いつかはインプラントが抜け落ちてしまうことになります。これはインプラントの周囲をしっかり歯ブラシ出来ない事が大きな原因に挙げられます。もちろん皆様のブラッシングが不十分でもインプラント周囲炎は起こりますが、この磨き易いか否かは、インプラントの入れる位置と被せ物の形状によって変わります。当院では、このインプラントの位置と被せ物の形にこだわり、歯ブラシしやすい長持ちするインプラント治療を行うようにしています。
インプラントは3つのパーツから構成されます。

このインプラントの土台部分の形は、インプラントのネジの位置により大きく制限を受けます。

このX線写真のようにネジの位置が適切であれば、土台の移行部がなだらかで磨きやすい形と言えますが、このネジの位置が浅かったり、土台に急な角度がついてしまうとご自身でのブラッシングが困難になります。
(他院で治療されたインプラントです)
この急角度のくびれている部分までご自身でしっかり磨くのは、かなり困難と思われます。
このようにインプラントのポジションが1mmズレただけでも磨き易さは変わります。
当院ではインプラントのポジションを0.数mm単位で調整して手術を行います。
多くの歯を失った難症例にも対応します。
〜All-On-4,All-On-6〜

歯の先進国の欧米では広く普及している治療法です。
総入れ歯や多くの歯を失った方に4本から6本のインプラントをバランスよく骨に埋入して、連結した人工歯を支える治療法です。埋入手術当日に固定式の仮の歯をいれるので、その日のうちに噛む事が可能です。機能面はもちろん、審美的にも優れた治療法です。インプラント本数も少ないため、手術時間が短く、費用も抑えることが可能です。
-

シミュレーション画像
-

インプラント埋入直後
-

インプラント埋入当日の仮歯







