- ホーム
- 全顎治療
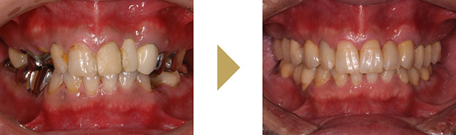
FMR全顎治療(総合治療)

総合治療はあまり聞き慣れない分野だと思います。
お口の中の全体に治療が必要な状態ということになります。歯科治療で一番難易度が高く、一つ一つの治療の技術や正確さ、より多くの知識が必要とされる分野です。虫歯、歯周病、噛み合わせ、歯のポジションの変更(矯正)など様々な治療を組み合わせて行われます。
噛み合わせの重要性
お口の中全体の治療になるので、歯科医師が設定する顎の位置(顎位)で噛ませて治療していくことになります。この設定する一点が左右にズレていたり、噛み合わせが高すぎたり低すぎると、噛みにくかったり顎が痛くなったり、また折角治療したものがすぐに壊れてくる原因になったりまします。
人間の歯には毎日たくさんの刺激と負担がかかります。

ご飯を噛む力は歯1本に対し60kg程度ですが、夜間の歯ぎしりは300kgに及ぶことがあります。歯1本にお相撲さんが一人乗っているぐらいの力がかかります。これが毎日続けば歯の寿命が短くなるのは容易に想像がつきます。この力の脅威を回避し軽減してくれるのが正しい噛み合わせです。
厚生労働省が行っている調査で、80歳で20本以上歯が残っている方の噛み合わせは全て理想的と言われているある特定の正しい噛み合わせをしていました。
逆を言うと、顎が前に出ている様な反対の噛み合わせ(反対咬合)や、歯が噛んでいない噛み合わせ(開咬)は誰一人として80歳で20本歯が残っていないことになります。
このように歯の噛み合わせは、歯の寿命に大きく影響を及ぼします。
噛み合わせは千差万別です。総合治療でこのトラブルが少なく理想的な噛み合わせを与えるのは容易ではありません。時には矯正で歯のポジションを変えなければいけないこともあります。総合治療のカギはいかに正しく診断し、長持ちする噛み合わせを与え、全ての治療分野に精通しているかです。




